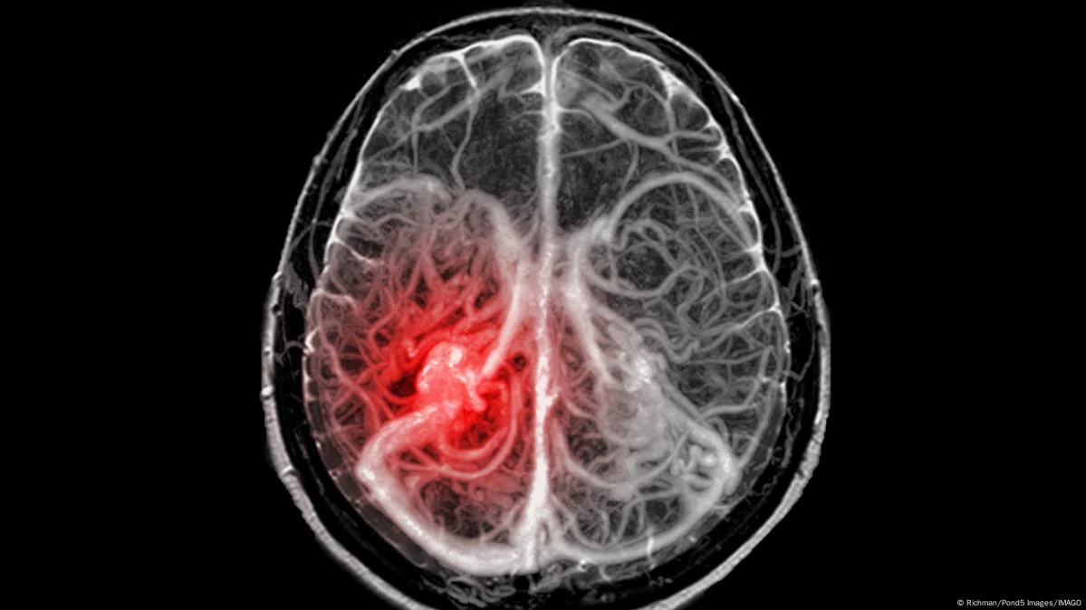
Investigadores del CONICET encontraron una estrategia para frenar el glioblastoma, un cáncer cerebral mortal, y volverlo más sensible a los tratamientos.
El glioblastoma es el tumor cerebral maligno más común en adultos y uno de los más agresivos. Resiste la quimioterapia y la radioterapia, y su mediana de supervivencia es de solo 9 meses. Apenas un 7% de los pacientes vive más de 5 años.
La nueva estrategia desarrollada por el CONICET logró, en estudios in vitro y preclínicos, que este tumor se vuelva más vulnerable a los tratamientos existentes. Los resultados se publicaron en la revista científica Life Sciences.
Aunque todavía falta probarlo en humanos, este avance podría abrir una nueva puerta para mejorar la calidad y el tiempo de vida de quienes reciben este diagnóstico.
